Neviditeľní zabijaci: Zoznámte sa najvražednejšími vírusmi sveta
Vírus Marburg
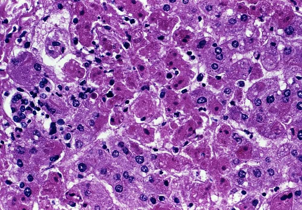
Tento RNA vírus patrí do skupiny filovirov (čeľaď Filoviridae). Prvýkrát bol zaznamenaný v roku 1967 v nemeckom mestečku Marburg. Z dvadsiatich piatich ľudí, ktorí sa im vtedy nakazili, sedem zomrelo. Jeho zdrojom je podľa štúdie amerických a gabonských vedcov kaloň egyptský (druhový príbuzný netopierov).


Rovnako ako známejšia Ebola, aj Marburg spôsobuje krvácavé horúčky. Je však považovaný za ešte nebezpečnejší – úmrtnosť podľa niektorých zdrojov dosahuje až 90%. V súčasnosti proti nemu neexistuje žiadne očkovanie ani účinný liek.


Vysoká úmrtnosť zamedzuje masovému šíreniu vírusu. Epidemický výskyt bol zaznamenaný výhradne na území afrického kontinentu, najsilnejší v rokoch 2004 a 2005. Z 399 evidovaných nakazených ľudí ich zomrelo 355.
Discover more from Jednotné nezávislé Slovensko
Subscribe to get the latest posts sent to your email.

